Benefits of Angulated Screw Channel Abutments
Common difficulties in Implantology
Sometimes, when working in patient’s tooth restorations, clinicians face diverse difficulties such as angulation issues and implant placement. These situations may appear in those clinical cases where the prosthetic screw access hole is unfavourably positioned due to the long axis of the implant.
One of the best solutions to solve these problems, which are some of the most common in implantology, is to use an Angulated Screw Channel (ASC).
Advantages of using an ASC
An Angulated Screw Channel gives the dentist the ability to orientate the screw access position and the chimney at various angles, enabling an access point as well as having an exit position in a very convenient point within the tooth structure. As a result, the practitioner is able to improve the aesthetics and functionality of the prosthetic restorations.

DESS® ANGLEBase® | The Ultimate ASC solution
DESS® ANGLEBase® offers the most flexible angular channel on the market since 2015, providing an angular adjustment of up to 25º within a 360-degree rotation. The ANGLEBase® ensures that retrievability remains uncompromised whilst delivering the best aesthetic results. This effectively solves the problem in those clinical cases where the access screw hole is placed at a critical angle.


DESS® ANGLEBase® is an angled solution with a complete cementation area. This means it does not have a window on one side, like the angled alternatives on the market, yet it still provides an angular adjustment of up to 25o. This is achieved thanks to ANGLEBase® shorter chimney.
This feature also gives 360o of rotational freedom, which gives the dental technician a major advantage versus the other angled solutions on the market, since there is no need to pre-position the abutment to see where the chimney will come out of it when designing the structure with the CAD software.
With ANGLEBase®, the Dental Technician will be able to place the abutment on the implant after finilising the design, orientate the exit position of the chimney in any direction and have a 25-degree freedom of divergence.


Transforming Smiles with ANGLEBase®
Here is a practical example that illustrates the exceptional results delivered by ANGLEBase®. In this real case, conducted by Dr. Steven Brisman, we delve into a scenario where the demand for flexibility and versatility was paramount to achieving the best possible outcome. ANGLEBase®'s precision and adaptability became instrumental in transforming a challenging case into a success story in implant dentistry.
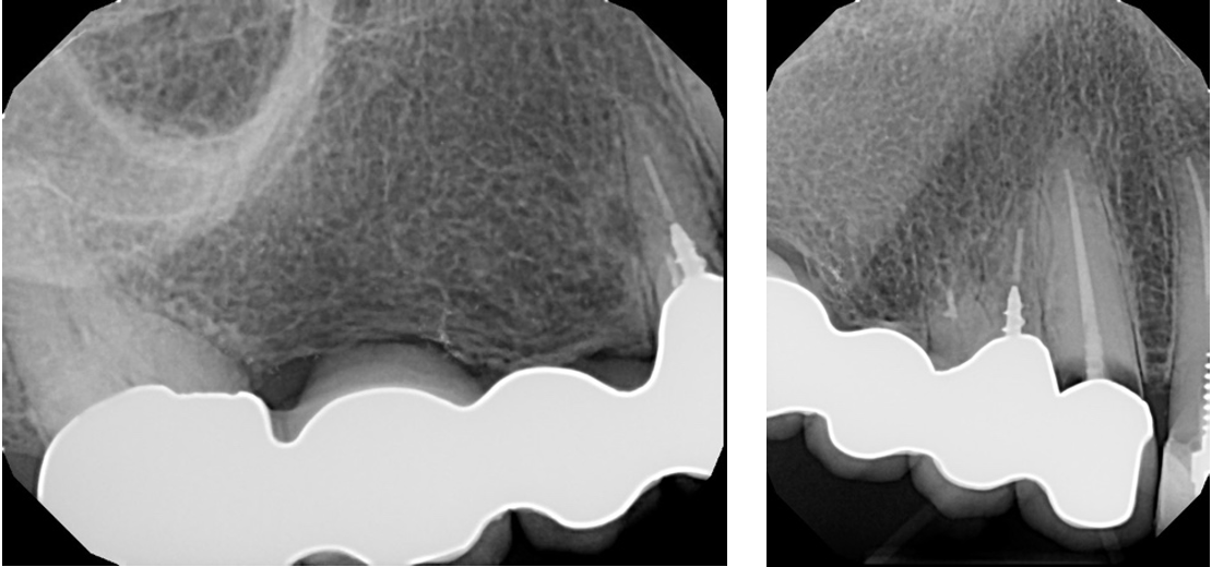
A 70-year-old patient presented a failing fixed partial denture in the upper-right part of their mouth. Before treatment, the patient had missing teeth #3 and #4, along with a modest ridge defect around tooth #3. Teeth #5 and #6 had a bad prognosis. The treatment of choice for this patient was the use of dental implants for a permanent solution.


Treatment Planning in Action
After the placement of the implants and the healing period, the case was reevaluated to plan the final restoration before moving forward.

The abutment of choice to restore this patient was ANGLEBase®, since it offers flexibility, angular freedom and precision. ANGLEBase® allowed the prosthodontists to optimise the aesthetics and functionality of the restoration by precisely adjusting the screw access position and chimney angle. This resulted in a superior outcome for the patient.
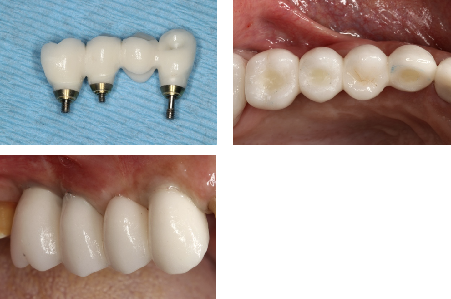
Once the data in STL format was acquired, the case moved to design development using CAD/CAM technology. ANGLEBase® seamlessly integrated into the workflow, ensuring a smooth transition from planning to manufacturing. The restoration was customised according to the patient's unique needs, thanks to the versatility of ANGLEBase®.


The Result: Optimal Aesthetics and Functionality
The ANGLEBase® solution proved to be a game-changer in this case. It offered a level of flexibility and customisation that greatly enhanced the patient's experience and the overall outcome of the treatment. The aesthetic results were remarkable, and the functionality of the restoration exceeded expectations.

In conclusion, DESS® ANGLEBase® has truly revolutionized our approach to implantology, providing the tools needed to overcome challenges and achieve exceptional results. Its flexibility and precision make it an indispensable part of any dental clinician’s toolkit, ensuring smiles are not only restored but transformed.
Click on the link to read the complete Clinical Case in detail.

Click on the following link to learn more about Angulated Screw Channel Solutions.
DESS® ELLIPTIBase | The optimal ASC for narrow spaces
DESS® ELLIPTIBase® is the optimal solution to angulate narrow interdental spaces, having a channel that allows for a 20o bidirectional angulation freedom.

In addition, the ELLIPTIBase® innovative elliptical and narrow design, with a 22% size reduction compared to a standard Ti-Base, makes it the best prosthetic solution for cases with limited interdental space, as it allows it to adapt to the geometry of the mouth and increase the space for the restorative material whilst maintaining almost the same cementation area.

DESS® ELLIPTIBase® | Features and Benefits

Wanting to learn more about our angulated solution for narrow interdental spaces? Click to find out everithing about DESS® ELLIPTIBase®